文杰医生形象照

文杰

求职意向:口腔科助理

👤 男 | 1995.01 | 汉族 📞 188 1375 5765 ✉️ 525549603@qq.com 📍 广东省湛江市霞山区

教育背景

石家庄人民医学高等专科学校 2023.09 - 2026.06
口腔医学(专科)
  • 23级口腔医学院总成绩排名前10%,不含第二课堂成绩排名前5%

实习经历

广东医科大学附属医院(口腔科) 2025.07 - 至今
实习生(三甲医院)
  • 临床协助:熟练协助带教老师完成日常工作、门诊小手术,种植配台;
  • 独立操作:在带教老师指导下,独立完成(二、三、四类洞)树脂充填N+,(高位、中位,近中、水平、软组织埋伏)阻生牙拔除20+,前后牙根管治疗30+,冠修复10+,前牙树脂直接关缝1例,功能性延长1例,龈下超声洁治20口+,渗透树脂1例,外伤牙弹性固定1例,直接盖髓1例,断冠再接1例,前牙树脂直接堆塑4+,种植二期带冠2例。
中国医科大学航空总医院(口腔科) 2024.07 - 2024.09
见习生(三甲医院)
  • 临床协助:协助老师四手操作,及种植配台,熟练掌握四手操作。
  • 参加每周科室培训,加深了对理论知识的理解。
  • 观摩不同科室老师的操作流程及术式技巧,提前了解临床实操。

校园荣誉与训练

  • 2025.03 - 2025.05:参加石家庄人民医学高等专科学校“25界牛牛杯”,荣获雕牙一等奖
  • 2024.10 - 2025.12:参加学校组织牙体预备训练,为河北省省赛做准备。

技能证书 & 综合评价

临床案例展示

根管治疗

根管治疗 - 案例一

术前 术前
术后 术后

根管治疗 - 案例二

术前 术前
术后 术后
功能性冠延长

功能性冠延长

术前 术前
术后 术后
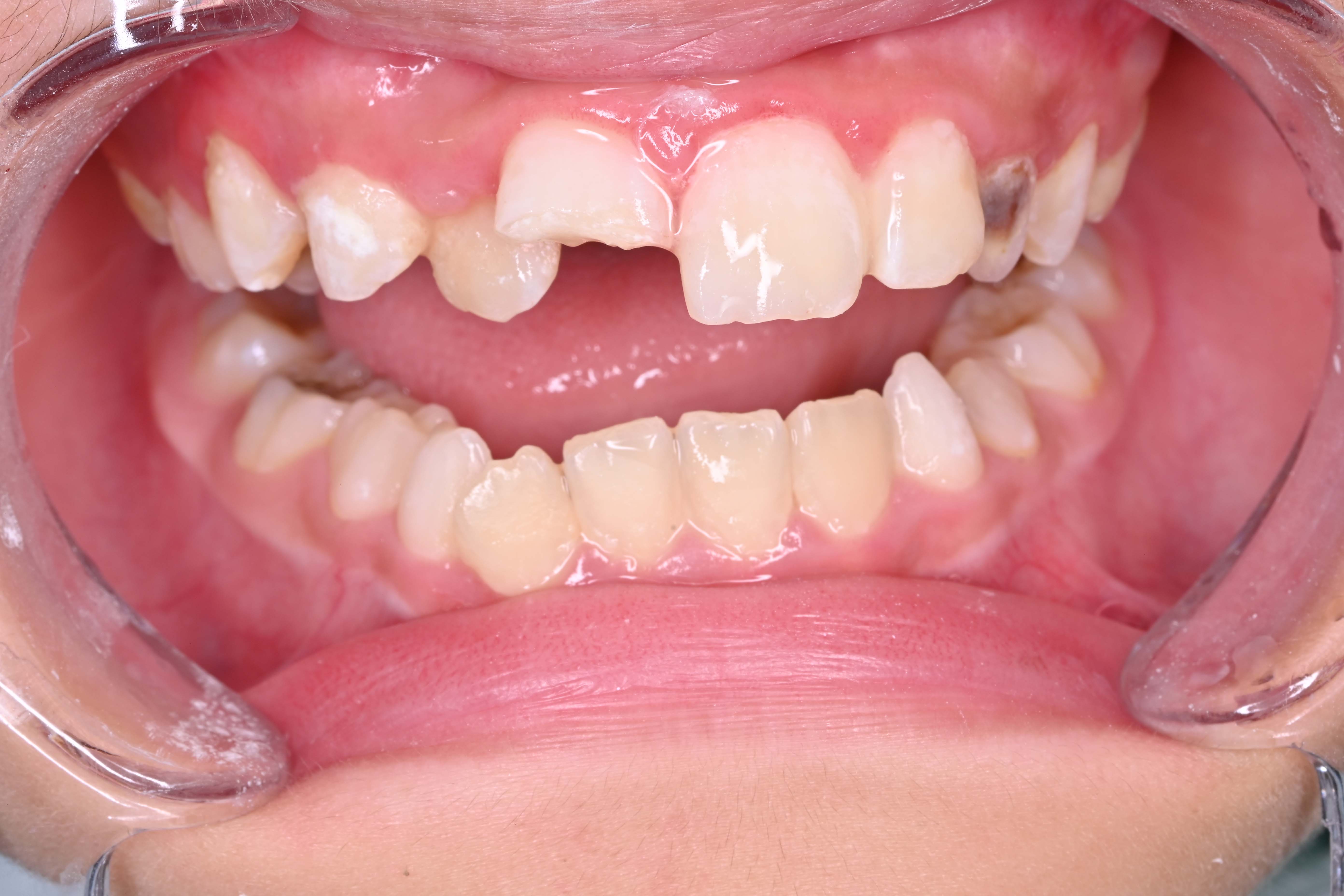
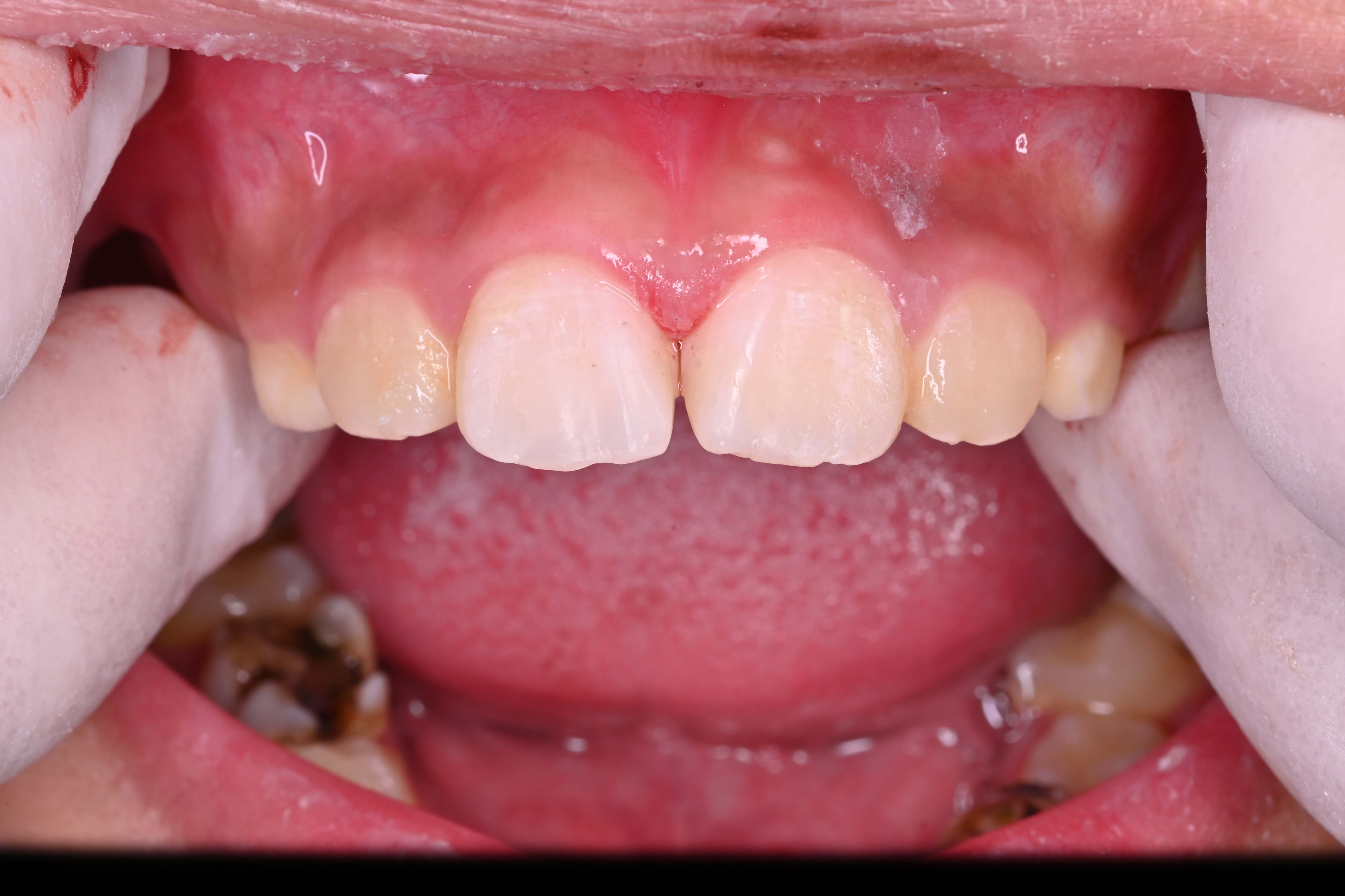
前牙树脂直接修复

前牙树脂关缝

术前 术前
术后 术后

外伤折断树脂堆塑 - 案例一

术前 术前
术后 术后

外伤折断树脂堆塑 - 案例二

术前 术前
术后 术后
牙体预备

牙体预备

牙体预备案例 预备后
阻生牙拔除

阻生牙拔除 - 案例一

术前 术前
术后 术后

阻生牙拔除 - 案例二

术前 术前
术后 术后

阻生牙拔除 - 案例三

术前 术前
术后 术后
文杰医生微信二维码

扫一扫上面的二维码,添加我为微信好友,期待与您沟通。